





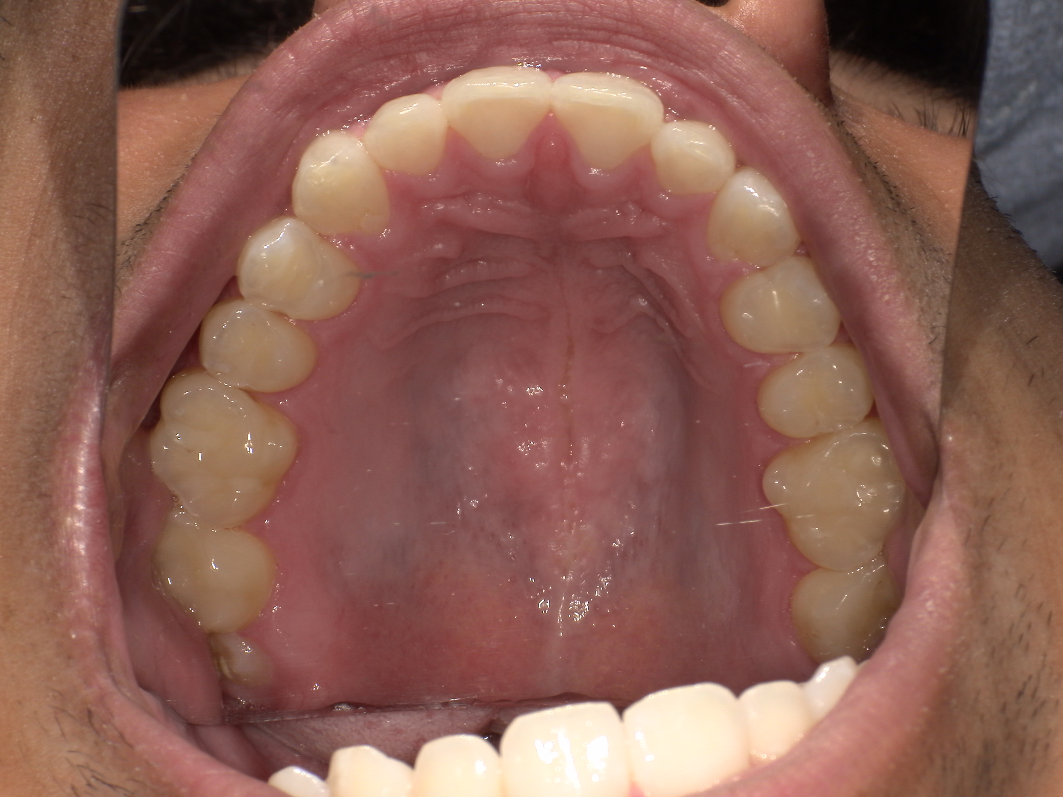
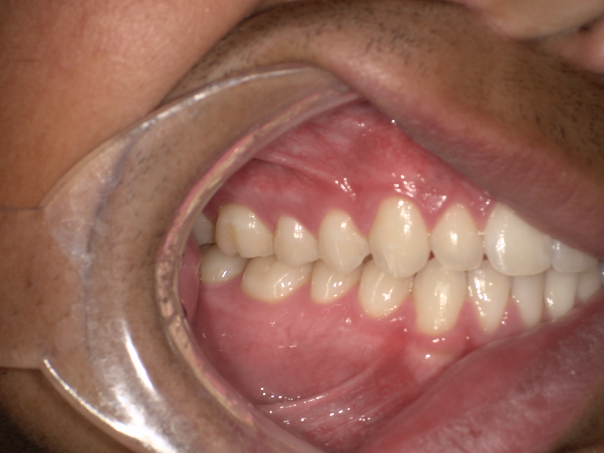
If you struggle with snoring, mouth breathing, poor sleep, fatigue, headaches, grinding, or focus issues, airway diagnostics can help identify root cause. It’s also valuable for children with crowded teeth, narrow arches, or sleep and behavior challenges.
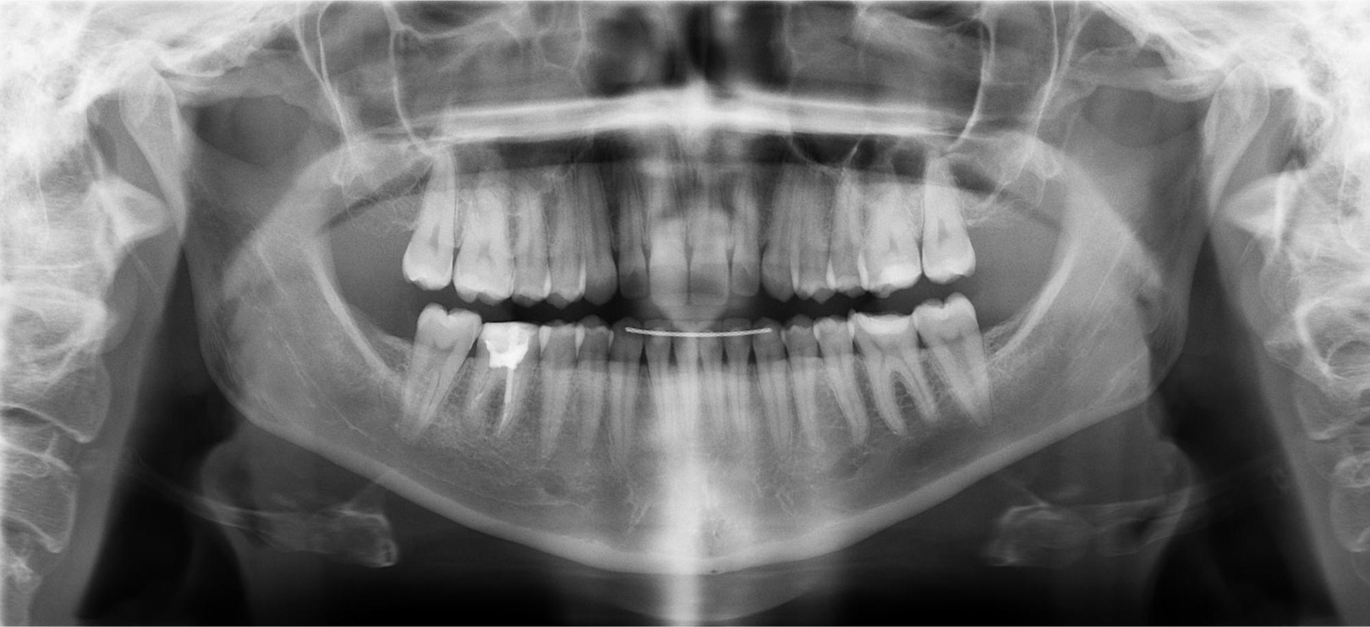
Your evaluation includes a CT scan, comprehensive oral images, sleep assessment, and personalized treatment plan from Dr. Trivedi. If you choose to proceed with the complete solution stack, your evaluation costs will be applied as a discount.
After your evaluation, the doctor reviews your results and explains how your airway structures are impacting your health. You’ll then receive a personalized plan that may include palatal expansion, aligners, or other therapies to optimize your health.
Your privacy and data security are top priorities. All imaging and health information are stored in secure, HIPAA-compliant systems. Only authorized clinical team members have access to your records, and your information is never shared without your consent.
We do not bill insurance for Airway Health services. This allows us to focus on precise, root-cause care without restrictions. However, we provide a full sleep data report along with the dental and medical codes you'll need to submit to your provider and request reimbursement.